Here I have just been experimenting with different drawing techniques. I started doing quick studies from the sections of science textbooks that I found interesting.
Monday, 1 December 2014
Dr Fernan Federici.
I love how Federici finds art in unexpected places. Whilst
studying biological sciences at Cambridge University studying self-organisation
he happened across the interesting patterns on a cellular level. Federici used
microscopes and a process called fluorescence microscopy this involves shining
a particular light on what they are trying to illuminate to which the substance
will identify itself by shining a particular colour or light back. His work was
meant to be just for his course but because of his passion and interest in the
patterns he started looking at old plants that Cambridge used in teaching due to
the dyes that used to be applied, before fluorescence microscopy was used, to
single out certain cells or structures. The dyes stayed on the samples for
years now make really intriguing images under the microscope. The most
interesting thing about some of his images is that the sample is organic but
the shapes that make it up can be very geometric, complex and structured.
My own microscopic images!
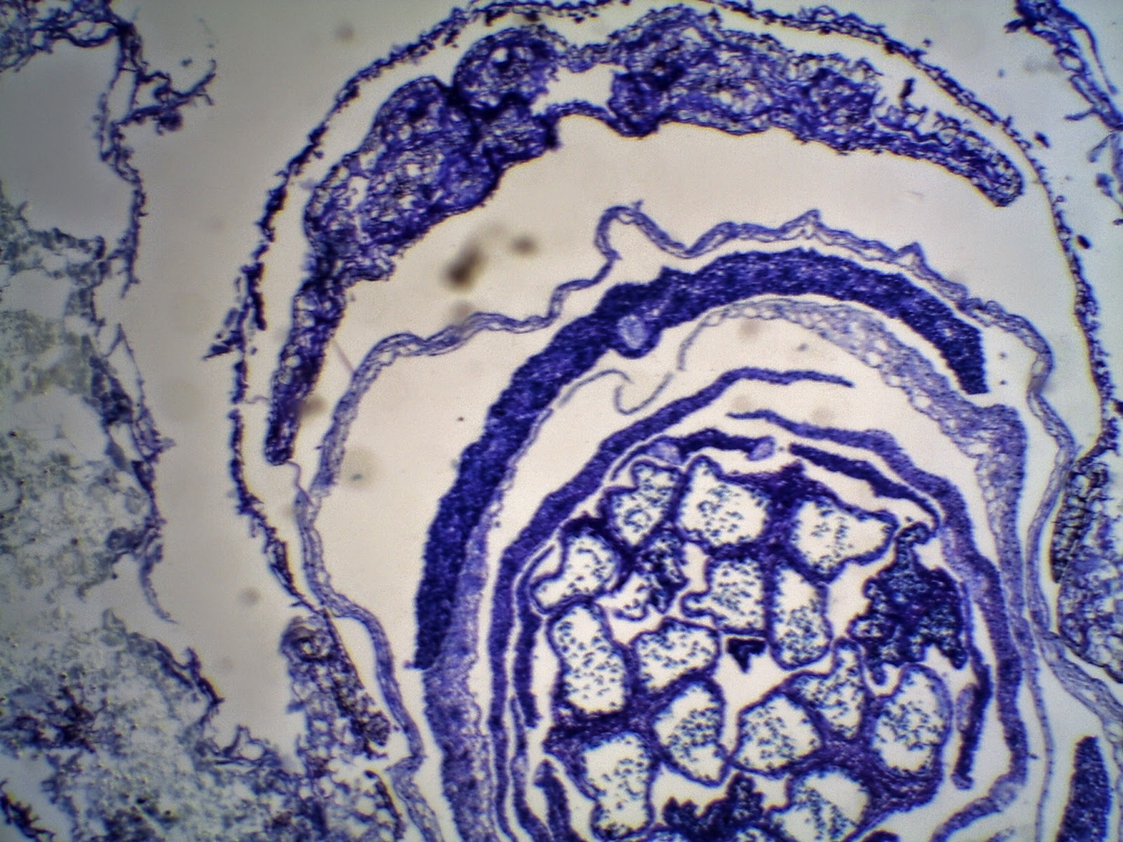
I finally got access to the science labs at university I was shown by one of the professors how to use the microscope successfully and capture photographs of the specimens I was looking at. I'm ecstatic about the result of the photographs the colours are beautiful and the complex patterns are intriguing. There are also really abstract and organic shapes that I would like to recreate through 3D sculptures maybe. All of the specimens are of plant samples consisting of plant roots, transverse sections of the stems, saplings and more.
My own microscopic images!
I finally got access to the science labs at university I was shown by one of the professors how to use the microscope successfully and capture photographs of the specimens I was looking at. I'm ecstatic about the result of the photographs the colours are beautiful and the complex patterns are intriguing. There are also really abstract and organic shapes that I would like to recreate through 3D sculptures maybe.
Tara Donovan.
Donovan constantly challenges herself with the astounding huge
scale she works with. The shapes of the installations have very biomorphic
structures which links to my own research into the forms of living organism. Using
just the simplest of materials such as buttons and glue she can produce impressive
free standing sculptures. Thinking of how I could link this to my own work I
have decided I can collect found materials similar to what Donovan uses such as
fishing wire, buttons, pencils etc. Working with these unconventional materials
could open my mind to exploring a new direction and style I haven’t really
looked into before.
Further research.
Here is the start of my research as I hadn't had the opportunity to get into the science labs yet I followed my personal tutors advice that I should borrow science textbooks from the university library and start experimenting through drawing from the illustrations and images. These are from Principles of Cell Biology by George Plopper. I really like the microscopic images of the cells magnified to high numbers to see all of the intimate details.
More science textbooks research.
Here is the start of my research as I hadn't had the opportunity to get into the science labs yet I followed my personal tutors advice that I should borrow science textbooks from the university library and start experimenting through drawing from the illustrations and images. The images in the Anatomy and activities of Plants, a guide to the story of flowering plants, by C.J. Clegg and Gene Cox 1978.
I love these images for the detail and complex repeated circular patterns and the star shapes in the centre of plant cells.
Subscribe to:
Comments (Atom)










